AKP健食天

坏血病

//坏血病//

2021 年 9 月18日

战胜坏血病和发现维生素 C 被吹捧为医学科学的伟大成就之一。

这是一个字典定义:

坏血病是一种由维生素 C 缺乏引起的疾病,维生素 C 是人体合成胶原蛋白所必需的。维生素 C 的化学名称抗坏血酸,源自坏血病的拉丁名称 scorbutus,它也提供了形容词scorbutic*. 坏血病通常最初表现为不适和嗜睡的症状,随后在皮肤上形成斑点、海绵状牙龈和粘膜出血。大腿和腿上的斑点最多,患有这种疾病的人看起来面色苍白,感到沮丧,并且部分不动。随着坏血病的发展,可能会出现开放性、化脓性伤口、牙齿脱落、黄疸、发烧、神经病变和死亡。坏血病曾经在海上船只上的水手、海盗和其他人中很常见,超过了易腐水果和蔬菜的储存时间,而且士兵同样长时间地被剥夺了这些食物。*

资料来源:https ://educalingo.com/en/dic-en/scurvy

正如定义的那样,正如我们都被告知相信的那样,坏血病是维生素 C 缺乏的结果。但这有什么道理吗?令人惊讶的是,没有多少道理。您将要了解到的是,实际上只有非常微弱的证据表明坏血病与维生素 C 缺乏症有关。您将了解到有非常令人信服的证据表明坏血病是由中毒状况引起的,而不是由缺乏症状况引起的。您很快就会意识到坏血病现在也没有被征服。相反,刚刚重新命名为其他更现代的疾病标签。

为了调查坏血病的故事,我阅读引用了这本书:

LIMEYS – David I. Harvie 征服坏血病

大卫·哈维 (David I. Harvie) 的书是一本很好的读物,也是对航海时代坏血病故事的很好的历史记录。他的书非常支持坏血病是一种维生素 C 缺乏症的故事。然而,该书的最后一章确实列出了一些现代思想家和其他反驳维生素 C 理论的组织。

坏血病——水手的大病

我们需要考虑的最重要的证据之一是,坏血病是迄今为止在海上船上的水手中最普遍和最常见的。几乎所有关于坏血病爆发的历史记录都是关于各种航海探险的船员。尽管有关于“陆地坏血病”的报道,但只占记录的“暴发”病例的一小部分。

因此,在航海时代,坏血病几乎仅限于对水手,尤其是英国海军的船员造成伤害。以至于调查坏血病病因和治疗方法的主要组织是英国皇家海军。由于坏血病被广泛认为主要是一种船边疾病,因此早期关于其病因的最有力理论之一是,船上生活条件下的寒冷潮湿和陈旧的空气。寒冷、陈旧的空气理论持续了 50 年或更久。皇家海军为船只开发了更好的通风系统,以防止坏血病的爆发。然而,更好的通风系统在对抗这种疾病方面的效果可以忽略不计。

我们需要了解的第二个最重要的证据是坏血病的“爆发”通常在海上航行 6 到 8 周后开始发生。非常奇怪的是,普通公众,甚至是在陆地上的水手,通常都不会得这种疾病。

然而,坏血病的最坏影响是在海上看到的,是一种海洋疾病。 > > LIMEYS – 征服坏血病 – 第 18 页

詹姆斯·林德(James Lind)——以及第一个重要的医学临床研究

被认为是最早的医学临床研究之一是 James Lind 林德在 1747 年的研究。林德正在研究一种可能的坏血病治疗方法。林德没有调查坏血病的原因,因为他认为已经知道原因。因此,他只是在寻找补救措施。

由于他对英吉利海峡舰队的实际观察,林德本人属于那些倾向于相信寒冷潮湿的海洋空气是最重要的先决条件的人之一。 > > LIMEYS – 征服坏血病 – 第 86 页

如果你读过我的电子书和博客文章,你就会知道我并不完全喜欢所谓的医学研究中使用的临床研究。我也不喜欢循证医学(依赖大数据集)。我有很多不喜欢临床研究的原因。最大的原因是,由于几乎完全依赖统计结果,研究人员通常甚至没有尝试使用真正的批判性思维和解决问题的技能。

我不喜欢临床研究的其他一些原因是那些经常是欺诈性的,或者进行非常糟糕以至于毫无意义。许多研究可能只是故意误导以促进其赞助商的经济利益。或者,更简洁地说:许多临床研究只是被操纵的制药行业宣传。

不管我的个人观点如何,临床研究有效性的终极考验是看产生真实世界的结果。现在有数以百万计的同行评审临床研究发表,作为一个社会,人们的健康状况是否比 50 年前更好?不,恰恰相反,人们只是病得更重,在任何可以想象的方面都病得更重,而且挂得更快。

林德的研究相当简单,仅用几段就完整地记录了下来。林德的研究包括 12 名男子,在海上航行时在名为 Salisbury 的船上仅持续了 14 天。

林德将 12 名生病的水手分成六对,为研究中的每个 2 人组提供不同的饮食补剂:苹果酒、硫酸酏剂(稀释的硫酸)、醋、海水、两个橙子和一个柠檬,或一种泻药混合物。当然,我们肯定不会期望从硫酸酏剂(稀释的硫酸)、醋、海水或泻药混合物中看到太多好处。林德的研究中没有对照组。

林德声称,用两个橙子和一个柠檬治疗的两名男子中的一名已经康复,而另一名男子只是稍微康复了一些。当然,没有长期随访来确定治疗是否只让男性暂时缓解。因此,曾经声称维生素 C 可以预防和治愈坏血病的著名临床研究主要基于一个人(可能是两个人)的症状暂时得到缓解。现代医学历史学家方便掩盖的是,海军使用的基本饮食并非完全没有维生素 C。葡萄干和黑醋栗是这个时代船上的主食。甚至林德在自己的研究报告中也记录了这一点。

*他们一起躺在一个地方,作为前排病人的合适公寓。对所有人都有一种共同的饮食,即:早上加糖的粥;晚餐经常吃新鲜的羊肉汤;其他时间是布丁,糖煮饼干; 晚饭,大麦和葡萄干,米饭和醋栗,西米和葡萄酒,或类似的东西。 > > 詹姆斯·林德

每人每周分配约 1 磅葡萄干。此外,黑醋栗实际上也含有相当多的维生素C。一份 80 克的黑醋栗可提供几乎 200% 的 RDA 的维生素 C。海军饮食通常还包括土豆和豌豆:维生素C的另一种来源。

还有一些现代猜测认为林德实际上并没有进行这项研究,而可能只是他编造的。

资料来源:James Lind 林德和坏血病:历史上的第一次临床试验?

<https://www.bbvaopenmind.com/en/science/leading-figures/james-lind-and-scurvy-the-first-clinical-trial-in-history/>

如果林德的研究确实是欺诈性的,这不是很讽刺吗?那肯定适合今天与许多其他欺诈或操纵的医学研究。

尽管如此,林德的研究还有另一个重大缺陷。尽管他知道坏血病主要是在船上引起的,但他只是在寻找一些治疗方法来补救。换句话说,他似乎没有考虑到在船上时可能有一种未知的有毒物质在起作用(除了寒冷、潮湿的空气) 。所以,他的前期偏见只允许他认为这种疾病是一种缺乏症。因此,他在饮食中添加补充剂,而不是有选择地从饮食中去除某些东西。

林德的研究结果如此令人信服,甚至林德本人也并不真正相信橙子和柠檬具有预防坏血病的疗效。如此之多,以至于他在接下来的几十年中担任海军外科医生,试图改善海军舰艇上的空气流通。同样,英国海军部又花了大约 100 年的时间才完全采用柠檬和酸橙作为预防坏血病的可能措施。但是,在同样的 100 年里,英国海军也发生了许多其他变化。我们稍后会讨论一个非常重要的问题。

同样重要的是,即使在英国海军采用提供柠檬和酸橙作为某种标准做法之后,也有一些探险完全未能阻止坏血病的爆发。库克船长认为酸橙和柠檬对防治坏血病毫无用处。

我完全同意你的观点,柠檬和橙子的价值(果汁)会阻碍大量供应。但我不认为这是必要的;因为尽管那些可能会在其他事情上有所帮助,但我对其本身并没有什么好意见。我对醋也没有更高的看法。 > > 库克船长在 1776 年的一封信中。

这是正确的。柠檬和酸橙根本不能可靠地预防坏血病,也不能经常治愈坏血病。柠檬和酸橙的使用产生了非常非常不一致的结果。如此之多,以至于即使在进行了几次大规模实验后,皇家海军也从未断定那真的有效。这不是很奇怪,对吧?显然,维生素 C 缺乏理论存在很大问题。

其他补救措施

还有其他补救措施试图预防和治疗坏血病。就像今天一样,有江湖游医和骗子推销假药等。

面对两个世纪以来关于坏血病治疗方法的相互矛盾的证据和传闻,海军部可能很容易(如果完全不可原谅)依靠那种使“社会医生”如约书亚·沃德(Joshua Ward)能够拥有自己的游说团体授权的欺诈性药丸。 > > LIMEYS – 征服坏血病 – 第 147 页

嗯……这是制药业游说活动的早期起源吗?

但是,酸性和酒精饮料以及发酵食品是更常见的治疗方法,而不是药丸。

查尔斯·比塞特(Charles Bisset)是另一位在爱丁堡接受过培训的外科医生,曾在西印度群岛服役。在他 1755 年的论文中,他将食盐和热量归咎于食物,推荐了蔬菜、葡萄酒、朗姆酒、烈酒,尤其是大米。 > > LIMEYS – 征服坏血病 – 第 86 页

有趣的是,用于治疗坏血病的最常见和标准的疗法之一是放血疗法。

人类和豚鼠

医学科学的另一个伟大主张是,在地球上的所有哺乳动物中,只有人类和豚鼠不能内源性合成自己的维生素 C。

声称是,经过数百万年的进化,人类不知何故失去了所需的基因。因此,我们需要定期从食物或补剂中获取维生素 C。听着是不是有点怀疑?我的意思是认真的,我们应该相信卑微的老鼠可以合成自己的维生素C,但人类,处于进化或上帝创造顶端的物种,反而不能?也许,只是也许,“丢失的基因”理论只是更糟糕的科学说法?对我自己来说,我的饮食中几乎没有维生素 C 大约 5 年后,我在 2019 年体检中看到了这个有趣的说法。

奇怪吧?但是,看来我可能患上了坏血病诱发的肿瘤。

scurvytumor.jpg

坏血病是一种缺乏症

即使在最轻的审视下,坏血病是一种缺乏症的理论也会很快分崩离析。再一次,这里出现的最大危险信号是这种疾病通常在海上仅 6 到 8 周后发展。这根本不符合 15 至 20 世纪北欧的生活现实。如果由于维生素 C 缺乏 6-8 周内出现坏血病,那么每年冬天至少有一半的欧洲和俄罗斯人口会死亡。当然,这从未发生过。再一次,因此维生素 C 理论肯定是完全错误的。

如果考虑更多现代的大量人口长期饥饿的例子,那么也明显缺乏坏血病的记录。正如我在电子书中所写的那样,德国和日本在二战期间经营的战俘营都提供了明确的证据。尤其是在日本人管理的战俘营中,他们的囚犯通常每天只提供一杯白米饭。这些集中营里记录了各种传染病,许多囚犯被残忍饿死,但几乎没有坏血病的记录。这怎么可能?根据维生素 C 缺乏理论,所有这些囚犯都应该在六个月或更短的时间内死于坏血病。

对于德国人管理的战俘营来说,情况也差不多——几乎没有提到坏血病。但是,至少在德国管理的战俘营中,土豆是供应食物的一部分,可能是一些维生素 C 的来源。但是,假设土豆是煮熟的,只提供所谓维生素C每日需求量一小部分。

我们可以添加来自世界各地的许多其他示例作为证据。下面只是想到的几个:

  • 非洲的马赛人,传统食物主要是奶牛的血和奶。没有维生素 C 的来源,但也没有坏血病。
  • 加拿大北部的因纽特人,一生都没有任何维生素 C 来源。然而,没有坏血病。
  • 肉食者多年来只吃肉食。没有维生素 C 的来源,但也没有坏血病。
  • 我自己的经历。在过去的 5 年里,我的饮食中几乎没有维生素 C,但我没有坏血病的迹象。相反,我的牙齿和牙龈现在可能是过去 20 年来最健康的。

那么,这里到底发生了什么?答案是坏血病是维生素C缺乏症的理论显然是错误的。好吧,如果坏血病不是一种缺乏症,那会是什么?如果认为是由急性中毒引起的会怎么样?

坏血病是一种急性中毒

从 18 世纪到 20 世纪,海军面临的主要挑战之一是为船只提供足够的粮食储备,以供他们进行可能的多年远征。与其说需要提供大量食物,不如说是在试图储藏并防止其在海上迅速变质。使用巴氏杀菌的罐头直到 1862 年才被发明,直到 1880 年代后期才被广泛使用。直到 20 世纪初中期,船上才采用蒸汽动力制冷。因此,当时船上的一些主食是咸牛肉和猪肉、燕麦、啤酒、非常干的饼干,以及一种叫做“便携式汤”的东西。

便携汤

什么是“便携汤”?来自维基百科:

便携汤是18、19世纪使用的一种脱水食品,起源于英国。是肉类提取物肉汤块以及工业脱水和速食食品的前体。也被称为口袋汤或小牛肉胶*。*

相当引人注目的是,便携汤是近 200 年来皇家海军舰艇的主食和标准供应。坏血病在皇家海军中流行了多长时间?大约同样的200年!

1757 年,英国人开始在船上备有“便携汤”。[307] “便携汤”由“所有在伦敦被杀死以供海军使用的牛内脏”组成,添加了盐和蔬菜。[308]然而,汤被干燥,使其具有板状外观胶水。[309]虽然“便携汤”令人不快,但对海军来说是完美的,因为保质期长达数年。[310]除了在每次航行开始时储存的补给品外,船只还经常在外国港口和陆地上交易额外的补给品。[311]特别是,大米、苦酒和其他硬醇在交易时特别有价值。[312] > > 资料来源:https ://dash.harvard.edu/bitstream/handle/1/8852139/Mayberry.html?sequence=2

什么是牛的“内脏”?好吧,那简直太糟了。

内脏是一个相当广泛的术语,不仅包括内脏,还包括动物的下水。基本上包括除了肌肉和骨骼之外的所有东西。 > > 资料来源:https ://www.chefs-resources.com/types-of-meat/offal-varieties/

便携汤对我来说听起来很恶心。但是,不可能那么糟,因为这种“便携”汤是近两个世纪以来英国海军和商船的绝对主食。

便携汤也可能被用于浸泡和软化其他海军主食的坚硬饼干。

配上一磅船用饼干。坚硬的 ¼ 磅面粉盘,烘烤 2 或 3 次,直到所有水分完全消失。男人们会浸泡这些,通常放入炖菜中,或者吸收肉类配给中的汁液 > > 资料来源:https ://www.warhistoryonline.com/history/how-royal-navy-fed-sailors.html

为了使其“便携”,汤是照常制作的,但随后通过长时间加热减少了汤,直到变成凝胶状并变干。让我们看看这:服用含有高视黄醇和视黄酯含量的肝和肾,在高温下(足以驱散蒸汽)长时间煮沸?这可能会出什么问题?大量生产维甲酸?

坏血病真的是维甲酸中毒吗?

再一次,我们真正需要了解的重要一点是,水手通常在出海后 6 到 8 周内就会患上坏血病。但是,根据全球和现实世界的数据,我们知道这种疾病从缺乏症发展而来的速度太快了。那么,如何考虑直接接触视黄酸的压力测试案例呢?这只是一个这样的例子:来自:

[[https://www.acne.org/profile/19936-nikita/|尼基塔]] [[https://www.acne.org/forums/topic/114246-accutane-and-sore-gums/?do=findComment&comment=1332133|发表于 2006 年 9 月 4 日]]

嗨,我已经服用了 2 周,现在牙龈疼痛、发红、有时会流血约一周。有没有人遇到过这种情况?这是我的第二门课,我以前从未体验过,也从未听说过是一种副作用,所以我想我会检查是否有其他人有过,或者我是否应该去看牙医检查一下! > 提前致谢。 > > 来源:https ://www.acne.org/forums/topic/114246-accutane-and-sore-gums/#comment-1332133

可以很容易地找到更多关于快速诱发牙龈疾病的第一手资料。例如:

https ://www.google.com/search?q=receding+gums+accutane+site:www.reddit.com

富兰克林探险队和铅中毒

“便携汤”会变得更有毒吗?嗯,是的,可以,而且很可能是。便携汤以及其他一些供应食品被包装在锡罐中,接头用铅基焊料密封。所以,我们可能正在谈论视黄酸和铅中毒的结合。这一理论得到了著名的富兰克林探险队(过去 170 年来在加拿大冰冻的苔原中保存完好)船员遗骸中铅中毒当代发现的支持。

“陆地坏血病”怎么办?

到目前为止,我主要讨论了在海上时导致坏血病的水手。陆地坏血病的情况如何?确实有不少非水手患坏血病的报道。那么是什么导致了这些案例呢?好吧,我们需要意识到“便携汤”并不是皇家海军专用的,也被出售给公众。

至少从 1746 年 11 月起,伊丽莎白·杜波依斯夫人就一直在英国报纸上宣传她的便携汤的销售,当时这种汤似乎首次在英国上市。 > > 资料来源:https ://georgianera.wordpress.com/2014/11/20/portable-soup-as-supplied-by-mrs-dubois-to-the-royal-navy-in-1756/

但是,当然,便携汤不可能导致所有陆地坏血病病例。我们确实知道,在这个时代,在英国吃内脏也是一种很普遍的做法。

好的,北美呢?好吧,在这个时代,我们需要了解另一种成熟的半工业规模运营。那是鱼肝和鱼肝油的产业。这是加拿大早期档案中有关这种做法的草图和历史记录。

绘制在美国地图的一侧,这是纽芬兰鳕鱼捕捞站的唯一现有图像。从卡博特时代开始,或许更早之前,欧洲渔民船队就航行到岸边,他们很快发现,如果在岸上设置分流站、盐分和晒干渔获物,他们可以停留更长时间并带回更多鱼。其中一些人可能已经过冬。这本来是美国人从欧洲人那里获得贸易商品的早期来源。

image.jpeg

  • 在新发现的土地上,一个阶段的视图和钓鳕鱼的方式和风干的方式。
  • A. 渔民的习惯(服装、连帽外套、靴子和围裙)
  • B. 线路
  • C. 捕鱼的方式(木桶被吊在船边,渔民站在里面)
  • D. 鱼的梳妆台
  • E. 穿好衣服后把鳕鱼扔进的槽
  • F. 盐盒
  • G. 携带鳕鱼的方式
  • H. 清洁鳕鱼
  • I. 从 鳕鱼肝中提取鱼肝油的压榨机
  • K. 接收来自肝脏的水和血液的木桶
  • J. 另一个接收鱼肝油的木桶
  • K. 干鳕鱼的方式

一些渔民从捕获的鱼中收集油用于烹饪。

<https://csphistorical.com/2016/01/24/salt-pork-ships-biscuit-and-burgoo-sea-provisions-for-common-sailors-and-pirates-part-1/>

因此,看起来来自 鳕鱼鱼肝油被用于北大西洋贸易和当地烹饪。但是,他们收获的所有鳕鱼肝都发生了什么事?  经常被放入桶中,在烈日下发酵,产生的发酵糊后来用作吐司的涂抹物。嗯?

看起来,罐装和食用鳕鱼肝的做法在加拿大已经进行了大约 400 年,即使在今天仍然如此。当然,这种做法不仅限于加拿大东海岸,在挪威和斯堪的纳维亚国家也已经进行了几乎同样长的时间。这是一些当前可用产品的示例。

<https://www.amazon.com/s?k=canned+cod+liver>

抱歉,我不提供任何折扣代码。

接下来,我们有另一个来自https://dash.harvard.edu/bitstream/handle/1/8852139/Mayberry.html?sequence=2&isAllowed=y的关于“陆地坏血病”的说明

然而,十字军东征提供了一个关于 13世纪坏血病的书面记录的例子^。[^133]](http://leda.law.harvard.edu/leda/data/658/Mayberry.html#fn133)在四旬期期间,当士兵们不吃肉(鳗鱼除外)并限制他们的饮食时,坏血病的流行很可能爆发了,因为“理发师被迫从牙龈上切除死肉,以使人们能够咀嚼食物。 ” [134]然而,值得注意的是,十字军认为这种疾病是由食用鳗鱼引起的,鳗鱼据说会吃死人。[135]

嗯,我不知道鳗鱼吃死人,但我知道鳗鱼很油腻,而且维生素A含量也很高。

坏血病的现代爆发

即使确定维生素 C 可以预防和治疗坏血病,这种疾病仍然在现代爆发。

在加拿大,1945-65 年的标志是用淡奶喂养的婴儿爆发坏血病(当时缺乏维生素 C)。 > > <https://www.thecanadianencyclopedia.ca/en/article/scurvy>

和:

婴儿坏血病出现在 19 世纪后期,因为儿童被喂食巴氏杀菌牛奶,

巴氏杀菌牛奶和“便携汤”有什么共同点?我敢打赌,很可能只是维甲酸。

哇——坏血病被征服和治愈了!

是的,我们都被引导相信坏血病已经被征服并几乎完全根除。但是,真的是这样吗?嗯,很可能不是。从广义上讲,坏血病表现为两种主要的疾病状况:

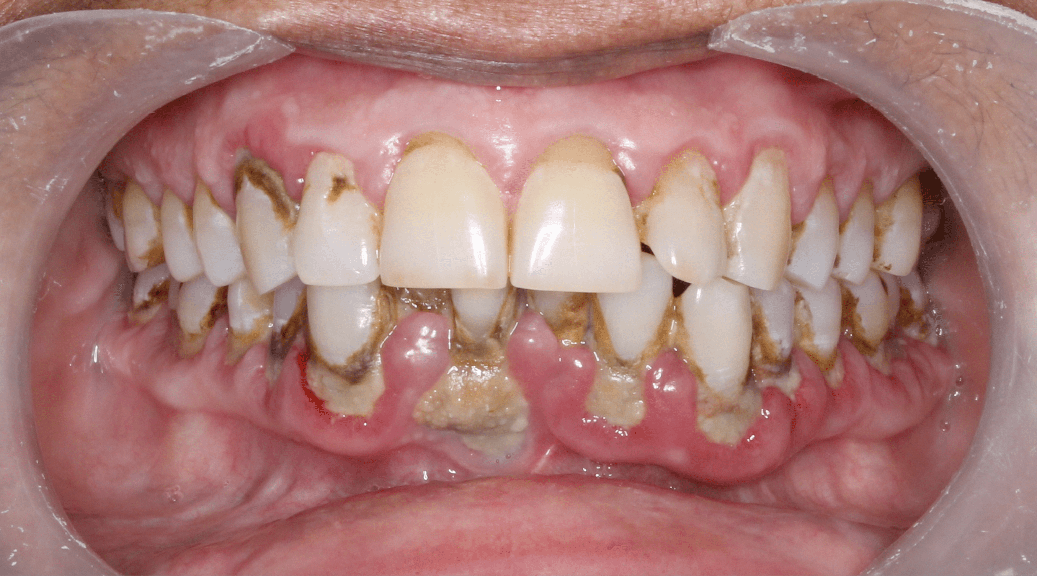
  1. 牙龈肿胀,出血,导致牙齿松动,最终牙齿脱落。
  2. 下肢溃疡和水疱。

然而,这些同样的原发性坏血病在今天不是仍然很普遍吗?哦,是的,确实是:

牙龈炎和牙龈疾病

  • 牙龈疾病。高比例的老年人患有牙龈疾病。65 岁或以上的成年人中约有三分之二(68%)患有牙龈疾病。

我们来看看一些不错的现代糖尿病牙龈疾病怎么样?

**糖尿病牙龈疾病的常见体征和症状**

  • 牙龈红肿,刷牙时出血
  • 黄色斑块沉积物
  • 牙龈渗出脓液、牙龈触痛或肿胀
  • 牙齿松动度
  • 嘴里一直有臭味

接下来,这是一幅关于坏血病对下肢影响的早期图画。显然,这种疾病有一些明显不同的表现。一个是深棕黑色的水泡,另一个是发炎和坏死的肉。

资料来源:Limeys 和坏血病的治疗 – JaneAusten.co.uk

但是,这些图像不是与今天如此普遍报道的糖尿病溃疡几乎完全相同吗?请自行判断。

“糖尿病性皮肤病(皮肤斑点)是与糖尿病相关的最常见的皮肤病。与类脂性坏死相似,在胫骨上呈现红棕色斑块,但大小通常小得多(0.5 至 1.0 厘米),数量更多(5 至 10 个或更多病变)。皮肤斑点逐渐消退,留下棕色的萎缩性疤痕。被认为是由血管疾病引起的,但与糖尿病的程度或持续时间无关。”

“腿部皮疹是糖尿病的常见症状,可由多种原因引起,是可以预防的。”

资料来源:https ://diabetestalk.net/diabetes/how-to-treat-diabetic-rash-on-legs

一名患有 2 型糖尿病的 54 岁男性

类脂性坏死是一种不寻常的皮肤病,与糖尿病密切相关。

资料来源:https ://www.aafp.org/afp/2003/0101/p139.html

糖尿病腿溃疡:

来源:https ://dermnetnz.org/topics/leg-ulcer

所以,不,“坏血病”还没有被征服。刚刚被重新命名并隐藏在现代疾病标签的牙龈炎、牙龈疾病和糖尿病后面。

现在西方社会大量补充维生素C,为什么“坏血病”发病率仍然如此之高?很明显,“坏血病”,也就是糖尿病,不是维生素 C 缺乏症。另一种说法是,“坏血病”是大大加速的糖尿病。无论哪种方式,“坏血病”和糖尿病都是中毒的结果。

//糖尿病——21世纪的流行病//

01周六2020 年 8 月

ggenereux 发表于自身免疫

发表评论

标签

糖尿病

CDC 新报告:超过 1 亿美国人患有糖尿病或糖尿病前期 CDC 在线新闻编辑室

根据美国疾病控制与预防中心 (CDC) 今天发布的一份新报告,目前有超过 1 亿美国成年人患有糖尿病或糖尿病前期。报告发现,截至 2015 年,3030 万美国人(占美国人口的 9.4%)患有糖尿病。另有 8410 万人患有前驱糖尿病,如果不加以治疗,这种情况通常会在五年内导致 2 型糖尿病。

<https://pubmed.ncbi.nlm.nih.gov/19364826/>

你不觉得这里有一个大问题吗?

1亿这个数字应该也很眼熟。这与患有脂肪肝的美国人的数量一样,慢慢地爬上他们。显然,北美乃至全世界的人类健康都出现了严重问题。而且,预计情况会变得更糟。

2015 年至 2030 年间,糖尿病(2 型糖尿病和 1 型糖尿病)的患病率将增加 54%,超过 5490 万美国人;每年因糖尿病导致的死亡人数将增加 38%,达到 385,800 人;到 2030 年,与糖尿病相关的年度医疗和社会总成本将增加 53%,达到 6220 亿美元以上

<https://www.ncbi.nlm.nih.gov/pmc/articles/PMC5278808/>

为了帮助我们了解这 6220 亿美元的成本,这几乎是美国每年在汽油上花费的总金额的两倍。是的,只有一种糖尿病疾病比石油成本高得多,当然还有利润!但是,这仍然只是美国人现在每年花费在所有医疗保健费用上的近四万亿美元的一小部分。当然,人力成本和长期痛苦更具破坏性。糖尿病导致的年死亡率是当前 Covid-19 灾难的 2-3 倍。当然,我们谈论的不仅仅是北美。糖尿病大流行现在折磨着全世界约 5 亿人。

如果我们不能控制这场糖尿病危机,它肯定会破坏我们的经济。我确实认为我们可以控制这一切……但这并不容易。继续目前的创可贴式治疗显然是行不通的。因此,为了有机会有效地扭转这场危机,我们首先需要找到它的正确根本原因。

糖尿病研究的最后一次重大突破是在 1921 年。加拿大人 Frederick Banting、Charles Best 和 James Collip 确定并分离了胰岛素,并迅速开发了一种从动物来源的胰腺中提取胰岛素的方法。他们以 1 美元的高价将这一过程的专利授权给了多伦多大学。就这样,胰岛素进入了大规模生产,每剂的价格只有几美分,挽救了数百万人的生命。今天,胰岛素仍然是该疾病的主要治疗方法。然而,胰岛素显然就是这样。治疗,而不是治愈。而且,今天,大型制药公司已经解决了令人讨厌的让所有人免费获得专利的问题,现在以许多人认为过高的价格出售合成胰岛素。

班廷和贝斯特没有回答的问题是,为什么人类胰腺首先会衰竭?也许,就像今天大多数医生一样,他们也被教导相信糖尿病和所有慢性病只是“运气不好”。可悲的是,这种关于疾病因果关系的荒谬“倒霉”理论被广泛接受,即使在今天也几乎没有受到挑战。但是,显然“倒霉”并不会导致器官衰竭。同样明显的是,愚蠢的“倒霉”理论是完全错误的,因为在过去的几十年里,北美人不可能变得更加“倒霉”。生活在美国东南部的人也不可能比生活在西北部的人更不幸。

早在 1921 年,我们还没有肥胖流行,因此也不能将肥胖归咎于糖尿病的原因。而且,肥胖绝对不能归咎于 I 型糖尿病,因为这种疾病导致儿童的消瘦与此正好相反。推测是I型糖尿病只是另一种自身免疫疾病,而自身免疫疾病只是更多的“厄运”。我们应该相信这是混乱和无赖的免疫细胞攻击自己的宿主体。好吧,如果你读过我的电子书,你就会知道我对“自身免疫”疾病理论的看法。简而言之,就是一堆垃圾。不,这不是一个混乱或有缺陷的免疫系统。相反,是组织细胞被毒化了。随着它们的 DNA/RNA 被毒化和损坏,它们会产生结构有缺陷的蛋白质。对于免疫系统来说,那些结构有缺陷的蛋白质似乎来自外来来源。那么免疫系统正确地攻击那些细胞。 

为了帮助更好地了解糖尿病的根本原因,我们需要知道许多其他慢性病的发病率也存在类似的 U 形曲线。幼儿的发病率很高,在青年和青少年时期发病率下降,然后随着年龄的增长缓慢上升。因此,在成年人中,很明显这种疾病是一种缓慢积累的疾病。 

来自:2001 年至 2015 年美国 1 型糖尿病发病率的波动:一项纵向研究

资料来源:Rogers, MAM, Kim, C., Banerjee, T. 等。2001 年至 2015 年美国 1 型糖尿病发病率的波动:一项纵向研究。BMC Med 15, 199 (2017)。<https://doi.org/10.1186/s12916-017-0958-6>

现在,将该图表与我在  COVID-19 漏洞博客文章中展示的图表进行视觉同步,显示不同年龄的肝脏维生素 A 浓度。请注意儿童早期的巨大峰值。

显然,肝脏维生素 A 储存水平升高与疾病发作之间存在滞后时间。一点也不意外,烧坏胰腺确实需要一些时间。

更重要的是,我们需要了解过去几十年中 I 型和 II 型糖尿病发病率的指数增长率。这根本不可能在人类中自然发生。显然是有什么事情导致了它的发生。我们也不能混淆一些真正常见的东西,因为它是正常的。当然,糖尿病现在很常见,但在历史背景下,这是非常不正常的。

这是一张显示阿尔伯塔省糖尿病患病率的图表。

资料来源:https ://albertadiabeteslink.ca/professionals/alberta-statistics/

对于整个加拿大,区域集群如下所示:

任何表现出指数增长率和像这样的地理聚集模式的疾病显然是一种中毒。这是一种缓慢的中毒,它显然是在慢慢地积累和/或吸收体内的细胞。就是这么简单。

根据上面提供的数据,如果有人试图告诉您糖尿病的根本原因在某种程度上植根于遗传,那么只需问他们是否完成了 9 年级的数学。 

好的,既然我们已经同意糖尿病是缓慢中毒的结果,那么让我们来看看所谓的维生素 A 有多大可能是造成它的原因。

I型糖尿病

如上图所示,I 型糖尿病最常见于儿童。它被认为是一种自身免疫性疾病,其中有缺陷的免疫系统错误地杀死了胰腺β细胞。这样一来,胰腺就不再能够产生足够量的胰岛素。您知道哪些“维生素”会导致干细胞快速有丝分裂和凋亡? 

维甲酸通过 ERK1/2 激活的非经典机制诱导细胞凋亡莫雷拉

抽象的:

尽管 RA 参与正常细胞和癌细胞的分化和凋亡,有时被用作化疗的辅助剂,但其作用机制涉及多种重叠途径,但仍不清楚。最近的研究指出,RA 发挥快速和非基因组效应,独立于 RAR/RXR 介导的基因转录。

是的,这就是“维生素 A”的活性形式对我们的干细胞的作用的非常实用的定义。如此之多,以至于它被认为是“分化”我们的干细胞所需的基本分子。“区分”的真正含义是什么?这意味着它会使通常位于基底膜上的干细胞迅速成熟为成体细胞并分离。维生素 A 的这种作用和过程在医学科学的许多领域都有大量记载,尤其是在皮肤病学和化学疗法中的应用。

II型糖尿病

II型糖尿病的特征是胰腺仍然能够产生胰岛素,但由于某些未知原因,胰岛素变得越来越无效。胰腺试图通过产生更多的胰岛素来弥补这种无效。这种情况被称为胰岛素抵抗。

与许多其他代谢疾病一样,存在循环指责游戏。许多“专家”认为肥胖是II型糖尿病的根本原因。但是,当然,这不可能是正确的,因为有很多 II 型糖尿病患者都很瘦。其他专家会声称是糖尿病导致肥胖。我认为这些人明显更正确。但是,并不完全正确。我认为肥胖是身体对一种更险恶、更持续的威胁状况的防御反应,我们需要加以保护。换句话说,如果有其他驱动因素同时导致肥胖和糖尿病怎么办?同样对于假定为糖尿病引起的肾脏疾病、心血管疾病、黄斑变性、痴呆/阿尔茨海默氏症等合并症,你可以命名它。是否还有其他可能导致所有这些情况发生的事情?好吧,你打赌有。维生素 A 毒性可以并且已被证明会导致所有这些相同的合并症。

除了,这种胰岛素抵抗情况怎么样?可能是什么原因造成的?正如我在之前的博客文章中所写的那样,研究人员现在正在确定 RBP 升高与胰岛素抵抗之间的关联。 

“直到 2005 年,RBP4 唯一已知的功能是从组织储存中调动视黄醇并将其输送到对维生素 A 有反应的细胞,在那里它可以转化为视黄酸,用于调节维生素 A 依赖性转录和功能。2005 年,Kahn 及其同事报告说,循环 RBP4 水平会影响葡萄糖清除率,高 RBP4 水平会导致胰岛素抵抗(Yang 等人,2005;Graham 等人,2006)。具体来说,Kahn 及其同事提出,脂肪细胞衍生的 RBP4 是促成 2 型糖尿病发病机制的信号,将肥胖与 2 型糖尿病以及其他与肥胖相关的代谢疾病联系起来。”

因此,视黄醇肯定与胰岛素抵抗有关。接下来,我们需要认识到,所有细胞受体实际上都是细胞固有的蛋白质。我们需要记住,维生素 A(视黄酸代谢物)已被证明会导致 500 多种不同的基因表达。什么是基因表达?它们是 DNA 结构的变化,可以通过细胞制造的不同蛋白质的变化来检测。因此,很有可能失败的胰岛素受体只是另一种蛋白质,由于视黄酸诱导的基因表达(又称 DNA/RNA 损伤)而产生了缺陷。

这个结果一点也不奇怪,因为我们现在知道 RA 会导致 DNA 断裂和碎片化。  

全反式维甲酸及其类固醇类似物 EA-4 在 C2C12 小鼠和 HL-60 人白血病细胞体外诱导的 DNA 片段化 Raghda S. Alakhrasa、Georgia Stephanoua、Nikos A. Demopoulosa*、 Konstantinos Grintzalisa、Christos D. Georgioua 和Sotirios S. Nikolaropoulosb

摘要: > 我们最近发现维甲酸主要通过染色体断裂诱导微核形成。

fractureddna.jpg

你认为你的 DNA 断裂可能会导致胰岛素受体和其他蛋白质产生缺陷吗?我当然会。

如何进行压力测试

正如我在我的电子书中提到的,在工程中对系统和组件进行压力测试到其临界点是很常见的。土木工程师每天都用混凝土样品做这件事,作为标准的质量保证实践。喷气发动机制造商将新的测试发动机旋转到令人难以置信的速度,并达到发动机爆炸或以其他方式自毁的程度。这些类型的压力测试非常重要,因为它们不仅可以告诉我们组件在什么时候会发生故障,还有助于设置实际使用中的安全操作范围。

有点类似,如果维生素 A 毒性是导致糖尿病的原因的理论,那么我们应该能够进行类似的生物压力测试,看看它是否可以直接诱发糖尿病。值得庆幸的是,压力测试已经在不经意间为我们进行了。

极限压力测试——ACCUTANE

有许多人在服用 Accutane 后不久就患上了 II 型糖尿病。它甚至被记录为已知的“副作用”。 

异维A酸对寻常痤疮患者胰岛素抵抗和脂肪细胞因子水平的影响。 

Soyuduru G、Ösoy Adışen E、Kadıoğlu Özer İ、Aksakal AB。  土耳其医学杂志。2019;49(1):238-244。发表于 2019 年 2 月 11 日。doi:10.3906/sag-1806-44

*结论:*所有数据表明 AV 患者接受 5 个月的异维A酸治疗会导致胰岛素抵抗,并且胰岛素抵抗的增加不依赖于这些患者的年龄、BMI、BFM 和血脂水平。  资料来源:https ://pubmed.ncbi.nlm.nih.gov/30761880/ 尽管这种糖尿病引起的 Accutane的“副作用”已经报道了几十年,但像往常一样,它被轻描淡写,并且大多被医疗机构忽视。这是一个很好的例子: 口服异维A酸治疗与暴露的潜在免疫介导糖尿病之间的关联 Ilaria Dicembrini, MD, Gianluca Bardini, MD, PHD 和 Carlo M. Rotella, MD > 药物诱导的胰岛素抵抗可以在临床上揭示成人潜伏性自身免疫性糖尿病 (LADA) 是合理的。在这种情况下,脂质谱的唯一显着变化在于异维A酸治疗期间高密度脂蛋白胆固醇的降低。因此,先前报道的病理生理学假设(1-4并不完全支持。然而,这是首次报道异维甲酸与一个暴露的自身免疫性糖尿病病例之间的关联。 资料来源:https ://care.diabetesjournals.org/content/32/8/e99 这不是一个绝妙的结论吗?他们荒谬的 BS 借口是糖尿病已经耐心地坐在那里,只是等待被尖锐的使用“揭露”。他们想让你相信:*不,不,美妙的刺萋没有引起这种疾病,它只是“揭开了”它的面纱。*谁能买到如此荒谬的废话和药品宣传?这些是医学博士和博士,同样,提出了这种愚蠢的主张。那么许多其他疾病的条件是如何被证明引起的呢?他们是否也只是“暴露”了? 但是,我的意思是,我们现在知道我们中的许多人每天都通过食物来源的维生素 A 摄入小剂量的“Accutane”。因此,如果证实加标剂量的艾克酸会导致糖尿病,那么很明显,许多低剂量但在较长时间内,可以产生相同的累积结果。所以,这只是剂量和时间的问题。  === 较低范围的压力测试——妊娠糖尿病。 === > “在美国,大约 1% 到 2% 的孕妇患有 1 型或 2 型糖尿病,大约 6% 到 9% 的孕妇患有妊娠糖尿病。” 但是,为什么以及如何怀孕会导致女性患上糖尿病?对于生孩子来说,这似乎是一个相当高的代价。几百万年来女性一直在做的事情。再一次,自然不可能如此愚蠢,这将是正常的。 当然,内分泌学家的一个大假设 是妊娠糖尿病是由某种模糊的荷尔蒙失调引起的。但是,他们无法解释为什么它只发生在某些女性身上。更重要的是,它无法解释为什么它在过去几十年变得更加普遍以及发病率的巨大区域差异。  妊娠期糖尿病的患病率和进展为 2 型糖尿病的风险:全球视角 为了提出一个可能的机制,让我们考虑这项关于雪橇犬血浆视黄醇水平的有趣研究(由 Garrett Smith 博士分享)。 === 运动对雪橇犬血浆中视黄醇和视黄酯动员的影响 === <https://pubmed.ncbi.nlm.nih.gov/15189429/> 从摘要: > 然而,未补充组的视黄酯水平在赛后立即翻了一番(p < 0.001),而补充组中直到赛后 24 小时才观察到类似的高水平(p < 0.001)。高水平的视黄酯在一定程度上与血浆甘油三酯浓度的增加相平行,两组的血浆甘油三酯浓度在赛后 24 小时显着高于运动前 (p < 0.001) 和运动后 (p < 0.001)。视黄酯浓度的增加可能表明它们从肝脏和脂肪组织中动员。 因此,持续增加的心率/血流量会从肝脏中激起更多的视黄酯并将其带入循环。 怀孕期间的女性也会出现类似的效果。当然,它不仅仅是24小时,而是持续7或8个月。 > 在怀孕期间,心脏泵出的血量(心输出量)增加30% 至 50%。随着心输出量的增加*,静息时的心率从正常的孕前每分钟70次左右加快到每分钟 80 或 90。* 随着心率的增加,更多的剧毒视黄酯被卷入血液循环。当然,数量可能与已经储存在肝脏中的浓度成正比。请记住,RBP 外的视黄醇可以在大约一毫秒内通过细胞膜。这样一来,转化为视黄酸的速度肯定会更高。长期升高的视黄酸水平肯定会解释妊娠糖尿病的发展。它还可以解释其他不利的“副作用”,例如产后抑郁症等疾病。 非常有趣的是,在从乳腺癌中恢复的女性中也观察到了同样的现象。与仅采用适度运动方案的女性相比,在癌症治疗后采用剧烈运动方案的女性癌症复发的几率要高得多。同样,情绪压力也会产生同样的效果。这就是为什么许多人报告说他们第一次遇到自身免疫性疾病和癌症是在一段持续的情绪压力之后不久发生的。  ==== 干预研究 ==== 如果这种维生素 A 毒性导致糖尿病的理论是正确的,那么我们或许可以通过一些使用低维生素 A 饮食的干预类型研究来证实这一点。确实有这样的研究。让我们首先考虑沃尔特肯普纳的所有米饭和糖的饮食。肯普纳让他的糖尿病患者遵循这种饮食长达 10 年,他们在逆转糖尿病、肥胖和糖尿病视网膜病变方面取得了很好的效果。  Walter Kempner 1958 年的大米和糖饮食 * 连续100名患者 * 超过 11 年的时间 * ~ 100% 碳水化合物——但效果很好——去看看? 有趣的是,肯普纳有时会鞭打他的病人以帮助他们顺从。 尽管他的一些患者似乎服用了维生素 A 补充剂,但没有确切记录这些患者属于哪一组。此外,很难知道这种极低脂肪饮食会吸收多少维生素 A。自然地,我认为肯普纳的所有米饭和糖的饮食是荒谬的并且非常危险。然而,它与碳水化合物和糖在糖尿病中的作用的主流观点完全矛盾。尽管如此,这是一个很好的证据,证明我们在正确的轨道上认为维生素 A 毒性是疾病的根本原因。 接下来,大约在同一时代,还有另一种极端饮食在逆转糖尿病方面也有类似的效果。 布莱克唐纳森的强效药物——“大脂肪牛排”饮食——1961 年 * 牛排每天 3 餐,每周 7 天 * 在多年期间 * ~ 100% 肉——但效果不错——去算一下?? 无需鞭打 布莱克唐纳森的饮食与肯普纳的大米和糖饮食完全相反,但它在逆转代谢疾病和糖尿病方面产生了相同的结果。这种“大脂肪牛排”饮食如今正重新流行起来。它被称为“肉食动物”饮食。为什么肉食动物饮食变得如此受欢迎?因为它有效!不管你喜不喜欢,我们必须看看现实世界的结果。  我们如何解释这两种截然相反的饮食在逆转糖尿病方面能有效产生相同的结果?共同的因素是它们都是不经意间维生素A含量极低的饮食。我认为肉食动物的饮食远远优于肯普纳的大米和糖饮食。但是,在某种程度上,当你将这两项饮食干预研究结合起来时,它们在某种程度上相互排除了宏量营养素是糖尿病的主要致病因素。因此,这需要我们更深入地寻找机械分子。我说我们将责任归咎于经过验证且功能非常强大的分子定义是破坏我们的干细胞的分子。是的,维生素 A 是干细胞杀手。 ==== 锌——又来了。 ==== 与许多酶一样,锌是形成胰岛素所需的关键原子。胰岛素本身是一种基于蛋白质的激素。 胰岛素的结构: 锌在右侧的带状图中显示为两个洋红色球体。 insulin.jpg 由艾萨克米本。– 从 en.wikipedia 转移到 Commons。首先由 Takometer 上传到 en.wp,CC BY 2.5,https: //commons.wikimedia.org/w/index.php?curid=1531881 因此,由于背景维生素 A 毒性对所需的解毒脱氢酶提出了更高的要求,这可能会显着降低胰岛素生产所需的锌的可用性。 ==== 会不会这么简单? ==== 至少对我来说,毫无疑问,维生素 A 的毒性正在导致糖尿病和肥胖症的流行。但是,这只是我自己的结论。由于糖尿病现在是一种主要的流行病,我们必须找出答案。因此,如果可以的话,请在您进行这种饮食的过程中跟踪您的 A1C 或血糖水平。然后,您可以为案例添加更多证据(赞成或反对)。 ====== 胚胎发生——“维生素A”的最后希望堡垒 ====== 02周一2020 年 3 月ggenereux 发表于未分类 ≈ 1 条评论 在过去的几个月里,我了解到越来越多的人已经严格遵循肉食动物的饮食(仅限肌肉肉)五年或更长时间。一点也不奇怪,他们做得很好。结合我电子书中包含的所有证据,以及我自己 5 年以上的无维生素 A 饮食,很明显,维生素 A 是一种必需营养素的理论显然是错误的。根据维生素 A 理论,这些人和我自己应该在几年前就失明了,他们的皮肤和所有内脏都自毁,否则就会解体。这不仅没有发生,而且恰恰相反。这些人比他们的许多同龄人更繁荣、更健康。 正如我在我的 P4P 电子书中所写的,用于建立“它是一种维生素”概念的基础研究几乎只是垃圾科学。对不起,毒死几十只老鼠并不能证明“维生素”的存在。 尽管现在许多人承认它不是成年人需要的“维生素”这一事实,但仍有人坚持认为它对胚胎发育至关重要。我觉得这种说法和立场很奇怪,因为我们知道过多的维生素 A 会导致可怕的出生缺陷,并且经常会导致自然流产。然而,有些人仍然认为大自然是如此愚蠢,以至于建立对一种剧毒分子的关键冒险依赖以促进胚胎的正常发育。这是他们坚持维生素 A 在某种程度上仍然是一种“维生素”这一说法的最后希望堡垒。 一旦您知道维生素 A 的所谓“活性形式”是 13-顺式维甲酸(异维甲酸,又名 Accutane)和全反式维甲酸(维甲酸),就会变得更加令人困惑。这些被认为是维生素 A 的“活性形式”对人类胎儿的毒性与沙利度胺一样。FDA 已建立“黑匣子”警告,即暴露于“任何”量异维A酸的胎儿极有发生出生缺陷的风险。令人惊讶的是,面对这些事实,既定的“科学”声称胎儿在某种程度上需要这种完全相同的化合物才能正常发育。我们如何证明这些截然相反的陈述?当然,我们不能,而且很明显,这种说法存在严重错误。 就像 1920 年代早期的大鼠研究最终确定维生素 A 是一种维生素一样,我们需要分析用于证明胎儿发育需要维甲酸的现代研究。以下是对“明确”确定胚胎发生过程中对视黄酸的严重依赖性的主要研究的概述。 研讨会:维生素 A 在胚胎发育中的功能代谢维生素 A 和胚胎发育:概述Maija H. Zile密歇根州立大学食品科学与人类营养系,密歇根州东兰辛市 48824-1224 J. Nutr。128:455S–458S,1998 我觉得令人不安的是,如此多的医学“科学”几乎完全依赖于诸如此类的“研究”。在我看来,这些“研究”完全是对真实、批判和逻辑思维的逃避。令人沮丧的是,只需要几分钟的思考就可以看出这一点的缺陷。它只是建立在许多摇摇欲坠的假设之上的更糟糕的“科学”。这里与 1925 年 Wolbach 和 Howe 的研究发生的相似之处也相当显着。 脂肪可溶性维生素缺乏后组织发生变化。 作者:医学博士 S. BURT WOLBACH 和医学博士 PERCY R. HOWE 来自哈佛大学医学院病理学系和波士顿福赛斯牙科医院。收到出版,1925 年 9 月 4 日 Wolbach 和 Howe 研究进行了大约 10 周的时间。在这段时间结束时,他们的大多数测试动物要么病重,要么已经死亡。该研究的基本结论是,由于缺乏维生素 A,这些动物遭受了毁灭性的组织和器官解体。 Wolbach 和 Howe 研究的最大问题之一是,尽管他们承认其他当代研究人员得到了完全相反的结果,但 Wolbach 和 Howe 只是编造借口忽略了这些不便的事实。但是,更大的问题是他们妄想地认为他们正在使用完整的信息。当然,他们不是。他们没有意识到在酒精中洗涤酪蛋白并在高温下对其进行热处理可能会使它中毒。而且,是的,不知何故,酪蛋白会变得非常有毒。 === 酪蛋白是一种致癌物——T. COLIN CAMPBELL 博士 === > 话题#1 – 酪蛋白是一种致癌物。真的吗? > > 很多人都听我说过,“酪蛋白 [牛奶的主要蛋白质] 是迄今为止发现的最相关的化学致癌物。” 有罪,如被指控。这句话我已经说过很多次了。为了便于讨论,我们称其为假设,即“酪蛋白致癌”。 > > 最受推崇的营养素如何增加最令人恐惧的疾病?“异端”,暴徒可能会大喊。 > > 但这是真的。在我进行了超过 25 年的实验室研究中,由纳税人的钱资助,研究结果发表在最好的期刊上,我们在最基本的细胞和亚细胞水平上以多种方式研究了这种效应,与任何其他被认为是化学物质的研究一样多成为致癌物。 > 酪蛋白是一种致癌物——T. Colin Campbell 博士 坎贝尔在这项研究和他的发现中并不孤单。伊利诺伊大学芝加哥分校进行了类似的研究,复制了这些结果。非常有趣的是,虽然坎贝尔主要关注肝癌,但芝加哥研究人员发现酪蛋白是一种非常有效的致癌物质,可以快速引发和促进动物患乳腺癌。 在坎贝尔和伊利诺伊大学的其他研究人员发现了酪蛋白相当令人难以置信的毒性之后,应该进行一些相当深入的后续研究,以确定牛奶蛋白为何如此有毒。毕竟,既然大多数哺乳动物都是从母乳喂养开始的,那么牛奶怎么会成为如此强效的致癌剂呢?从表面上看,这没有任何意义。然而,当你深入其中并发现其中包含的维生素 A 分子时,它变得更加合理。我毫不怀疑在 Campbell 等人的大鼠实验中使用的基于酪蛋白的标准实验室食物是经过热处理的。对它进行热处理只是必要的,以使其免受潜在的细菌污染物的影响。 除了坎贝尔等人关于酪蛋白是一种强大的致癌物的启示之外,为什么没有人回到过去并质疑 1925 年沃尔巴赫和豪研究的有效性?毕竟,他们在实验中也使用了酪蛋白。他们的动物难道不能患上“有史以来最相关的化学致癌物”,而不是患上维生素缺乏症吗?此外,为什么没有人费心去尝试理解为什么所谓的维生素 A 缺乏症的症状与其毒性症状完全匹配?这不是很奇怪吗? 我在我的 P4P 电子书中写了关于 T. Colin Campbell 博士的中国研究的文章。我真的很喜欢中国研究,我仍然认为它值得一读。坎贝尔在他的书中得出的两个非常重要的结论是: - 食物是慢性病的根源(尤其是癌症)。 - 医疗部门和医学科学是由贪婪驱动的,并且充斥着腐败。 他的第三个也是最重要的结论稍微正确,但大部分是错误的。他得出结论,这是牛奶蛋白,因此通过错误的推断,大多数动物来源的蛋白质是罪魁祸首。然而,真正的罪魁祸首根本不是牛奶蛋白。相反,应该归咎于酪蛋白中的剧毒氧化视黄醇分子。  旁白:非常值得注意的是,关于标准实验室“大鼠食物”饮食的信息,其中包括灭菌酪蛋白是一种强效致癌物,可能会使大多数其他使用相同饲料的动物研究无效。这可能是医学研究各个方面的数千项研究现在充其量是非常值得怀疑的。 让我们回到正轨,更现代的研究“明确地”证明在胚胎发生过程中需要视黄酸 (RA)。  维生素 A 和胚胎发育:概述Maija H. Zile密歇根州立大学食品科学与人类营养系,东兰辛,密歇根州 48824-1224 J. Nutr。128:455S–458S,1998 > 【摘要】: > 维生素A是生命周期中不可缺少的微量元素。它的活性形式,通过类视黄醇受体的视黄酸,参与调节发育的信号转导途径。胚胎发育过程中维生素A的缺乏和过量都会导致先天性畸形。检查维生素 A 在胚胎发育中的功能的方法包括用过量的类维生素 A 治疗和使用类维生素 A 受体敲除小鼠,这为了解维生素 A 信号系统的复杂性提供了重要的见解。 当前根深蒂固的理论是 RA 是维生素 A 的“代谢物”。有文献记载,然后只是盲目地重复数百次,RA 是“分化”我们的干细胞所需的下游分子产物。然而,即使经过少量审查,“理论”也只不过是一种假设。我们应该从页面上跳下来的危险信号之一是,许多归因于 RA 缺陷的可怕骨骼缺陷与 RA 毒性(或仅仅暴露于 RA)完美匹配。他们说: > 维生素 A 缺乏和过量的畸形症状的重叠表明 A 在许多器官发育中的共同目标和关键作用。  这听起来是不是很熟悉?然后他们发表了这个声明。 > 重要的是要记住,发育中的胚胎对维甲酸的缺乏和过量非常敏感。 所以,我们又来了,只要一点 RA 太多或太少,你就会得到相同的致畸结果。奇怪吧? 当然,设计一个实验来证明 RA 缺乏的影响是相当困难的。他们不能只喂实验动物缺乏所有维生素 A 来源的饮食,因为他们“知道”动物会很快死亡,更不用说让它们通过一个或多个生殖周期繁殖。因此,这项研究中的研究人员所做的是使用转基因的“敲除”小鼠。基因敲除会改变他们的 DNA,因此他们将无法产生利用 RA 所需的视黄酸受体 (RAR)。 > 视黄酸现在被普遍认为是一种重要的信号分子,作为其核受体的配体,RAR在转录水平上改变基因表达(Gudas 等人 1994,Mangelsdorf 等人 1995,Pfahl 和 Chytil 1996,Roberts 和斯波恩 1984 年)。 因此,基本上,他们的想法是破坏 RA 代谢途径,以阻止 RA 调用那些 500 多个随机基因表达的最后关键步骤。 > 最近回答有关维生素 A 在发育中的功能问题的方法是使用具有类视黄醇受体基因结构变化的转基因小鼠(Boylan 等人 1995、Chambon 1993、Giguere 等人 1996) 正常的维生素 A 代谢途径 正常的“受体”途径 敲除 RAR 和 RXR 使用他们的基因“敲除”小鼠,他们取出了 RAR 和 RXR。 应用了“淘汰赛” “中断”的维生素 A 代谢途径 你看到“中断”的路径了吗?其实我也不会。  但是,果然,通过这种诱导突变,他们找到了他们正在寻找的东西。破坏 RA 代谢途径会导致可怕和灾难性的骨骼和器官缺陷的发展。当然,正如预测的那样,他们的结论是 RA 对胚胎发生至关重要。  > 这些突变小鼠中的许多异常类似于早先报道的在维生素 A 缺乏动物的胎儿中观察到的异常。 显然,这些实验及其逻辑存在一些巨大缺陷。首先,如果处理 RA 的细胞过程不是一种“代谢”,而是一种分解代谢和解毒呢?当然,当癌症患者接受 RA“治疗”时,他们的身体并没有对其进行代谢,而是在疯狂地对其进行解毒。在此过程中,结果是“药物”对几乎所有患者造成了可怕的广泛破坏。 *分化综合征(DS)是最新的术语;发生在接受 ATRA 治疗(维甲酸,Vesanoid)*的急性早幼粒细胞白血病患者中。”

分化综合征是急性早幼粒细胞白血病(APL)患者诱导化疗的危及生命的并发症。这种综合征的表现包括发热、低氧血症、水肿,过去被称为“细胞因子风暴”

然而,不知何故,我们应该相信正确的胚胎发生需要完全相同的化疗药物。这对每个人来说都应该是相当可笑的。

接下来,我们需要考虑如果基因“表达”真的是基因损伤的表现呢?但是,最明显的是,他们根本没有证明的是 RA 缺乏症。不,细胞中仍然存在维生素 A 和 RA。他们只是阻止了它被认为是唯一的途径。然而,它们绝不会限制 RA 与 DNA 结合并导致 DNA 损伤的可用性。显然,即使没有 RAR,该 RA 分子仍然可以自由漂浮在细胞质周围并与 DNA/RNA 结合。因此,他们在这项研究中真正所做的只是证明了 RA 对胚胎的毒性很大,即使在没有维甲酸受体的情况下也是如此。这个结果一点也不奇怪,因为我们现在知道 RA 会导致 DNA 断裂和碎片化。  

全反式维甲酸及其类固醇类似物 EA-4 在 C2C12 小鼠和 HL-60 人白血病细胞体外诱导的 DNA 片段化Raghda S. Alakhrasa、Georgia Stephanoua、Nikos A. Demopoulosa*、Konstantinos Grintzalisa、Christos D. Georgioua 和Sotirios S. Nikolaropoulosb

摘要: > 我们最近发现维甲酸主要通过染色体断裂诱导微核形成

fractureddna.jpg

接下来,关于 RA 代谢的唯一途径是通过 RAR 的长期假设呢?好吧,事实证明这是错误的假设。

维甲酸通过 ERK1/2 激活的非经典机制诱导细胞凋亡莫雷拉

摘要: > 尽管RA参与正常细胞和癌细胞的分化和凋亡,有时被用作化疗的辅助剂,但其作用机制涉及多种重叠途径,尚不清楚。最近的研究指出,RA 发挥快速和非基因组效应,独立于 RAR/RXR 介导的基因转录。

他们继续说:

经典地,已经描述了 RA 的作用是由 RA 受体 (RAR) 的配体依赖性激活介导的,RA 受体通过与 DNA 中的 RA 反应元件 (RARE) 相互作用直接作为转录因子调节基因表达 (Kastner et al., 1995)。已经鉴定了许多 RA 靶基因,其中许多与细胞凋亡和分化有关(Kastner 等,1995;Pfahl,2003)。另一方面,最近的研究指出,RA 以一种独立于类视黄醇核受体介导的基因反式激活的方式调节信号通路。这被描述为 RA 的“非经典”或“非基因组”作用。

有了这些新信息,现在没有合法的证据表明胚胎发生需要 RA。当然没有。怎么会有人如此轻信,相信一种像沙利度胺这样对发育中的胎儿有毒的分子,一种被证明会破坏 DNA、导致癌症、导致 500 多种其他 DNA 损伤变异以及诱导快速细胞凋亡的分子在某种程度上是胚胎所需要的发展?

儿童暴露于沙利度胺

此外,很明显,RAR 是对抗 RA 毒性的最后防御机制之一。 

然后,我们需要问下一个明显的问题。如果 RARs 真的是解毒途径的一部分,那么该途径被破坏的结果是什么?是癌症!

RA 信号通路的破坏被认为是许多血液和非血液恶性肿瘤的病因学基础,包括白血病、皮肤癌、头颈癌、肺癌、乳腺癌、卵巢癌、前列腺癌、肾细胞癌、胰腺癌、肝癌、胶质母细胞瘤和神经母细胞瘤。

维甲酸受体:从分子机制到癌症治疗

Alessandra di Masi、Loris Leboffe a、Elisabetta De Marinis b、Francesca Pagano、Laura Cicconi、Cécile Rochette-Egly、Francesco Lo-Coco、Paolo Ascenzi、Clara Nervib,2014 http://dx.doi.org/10.1016/j。妈妈.2014.12.003

这一发现与我在乳腺癌电子书中引用的报告相似,研究人员在该报告中发现癌症组织中所需的酒精脱氢酶已耗尽。所以,基本上,当一个细胞不再能够保护自己免受 RA 的伤害时,它就会变成癌细胞。再一次,这对任何人来说都不足为奇,因为癌症的标志是 DNA 受损和细胞快速有丝分裂,而这正是 RA 对细胞的作用。唔?RAR 和 RXR 实际上是 RBP 的前体蛋白,我们现在知道细胞在视黄醇和 RA 周围形成然后从自身排出的可能性有多大? 

无论如何,维生素A与胚胎发育的思考过程和结论是如何的,是相当了不起的。研究“明确地”证明胚胎发生需要 RA,这与 1925 年 Wolbach 和 Howe 的研究相似。两个团队都准确地找到了他们正在寻找的东西,他们都忽略了其他研究和知识与他们的结论相矛盾的大量证据。最令人不安的是,他们似乎并没有运用常识来提醒他们他们的结论存在严重错误的事实。而且,就像 1925 年的 Wolbach 和 Howe 一样,这些研究人员对自己如此自信,以至于他们完全忽略了同时代人的矛盾发现。我说,因为在他们进行这些精心设计的基因敲除研究的十年前,HHS 迅速(仅 10 到 14 天)用他们声称对胚胎发生至关重要的分子毒死了年轻的老鼠。

美国专利 4,649,040

美利坚合众国,由华盛顿特区卫生与公众服务部代表,1987 年 3 月 10 日

因此,这一切都非常荒谬,几乎是荒谬的。我的意思是认真的,有了这些信息,怎么会有人继续相信胚胎发生需要一种已证实的致命和致畸毒药?

非常有趣的是,T. Colin Campbell 在 1990 年代的研究和 Alessandra di Masi 在 2014 年的研究都指出了癌症的因果关系,甚至特别指出了乳腺癌的因果关系。令人惊讶的是,坎贝尔能够通过增加或减少动物饮食中酪蛋白的含量来开启和关闭癌症进展。这是一个很好的迹象,表明维生素 A 的持续供应正在助长癌症。

然而,正如我在 P4P 中所写的那样,非常令人不安的是,当其他研究人员确实发现与维生素 A 和导致癌症的类维生素 A 直接相关时,他们将其隐藏起来并加以掩盖。那不是科学。我认为它充其量是刑事疏忽。这肯定引出了一个问题:这么多医学科学怎么会被搞砸?这是故意的科学宣传和操纵,将我们圈入疾病吗?当然,每天都有大量的钱用于切割女性的乳房。但是,如果我们揭示疾病的真正根源并因此可以预防它,那么没有人会从乳腺癌中赚到一分钱。T. Colin Campbell 是正确的;腐败不仅是现代医学的特有现象,而且似乎已在医疗机构中制度化。

如果这是一些无害的错误,我就不会那么刻薄了。但是,事实并非如此。而且,我们也不只是在谈论黑色素瘤和乳腺癌。美国现在是世界上出生缺陷和自然流产率最高的国家。我们谈论的是仅在美国就有近一百万人患有出生缺陷。根据美国疾病控制与预防中心目前的估计,在美国出生的每 33 名婴儿中就有 1 名出生缺陷发生,这代表着一场持续的全国性灾难。巧合的是,这 1/33 的比率也与目前的自闭症比率相当。 

人体比目前的医学科学先进了数千倍。事实清楚地证明了这一点,即越多的健康干预措施和药物推向我们的人群,我们的病情就越严重。我们已经病得更厉害了,而且规模也很大。仅此一项就是确凿的证据,证明许多所谓的专家根本不知道他们在做什么。人体过去和现在都是完美的。我们只需要学习如何停止长期中毒。为了做到这一点,我们需要知道什么时候虚假的“维生素”实际上只是一种毒药。

讨论列表 查看原帖及回帖